首页> 诊疗项目
长期耳鸣别大意,可能暗藏肿瘤、脑中风等危机,千万不能小看它!
来源:成都西南脑科医院

  
你有过耳鸣

  的经历吗?

  耳朵里突然听到“嗡嗡嗡”像蜜蜂叫的声音,或者是“咚咚咚”像小鼓打的声音,亦或“吱吱吱”像蝉鸣的声音?根据美国最新版《临床耳鸣实践指南》统计显示,全世界大约有15%~20%的人有耳鸣。也就说,全世界有至少10亿人耳鸣。这种症状虽然很常见,但其背后可能暗藏肿瘤、脑中风等危机,千万不能小看它!

  案例分享

  姚先生打电话时总听不清对方讲话,右边耳朵像有蜜蜂在飞,发出嗡嗡的声音。起初并没太在意,以为是工作繁忙劳累或情绪紧张,休息一会儿也就好了。前段时间他感觉耳鸣越来越厉害,并且还出现听力下降、失眠等症状,到医院做了头部的核磁共振增强扫描,发现他患上了听神经瘤。

  听神经瘤是指起源于听神经鞘的肿瘤,为良性肿瘤,确切的称谓应是听神经鞘瘤,是常见颅内肿瘤之一。事实上,三分之二以上的人都出现过耳鸣的现象。那么,普通的耳鸣、脑中风的耳鸣与听神经瘤的耳鸣又有何区别呢?

  1

  功能性耳鸣

  如果是双侧耳鸣,未合并其它症状出现,这种耳鸣相对安全,多属于老年功能性耳鸣。目前针对功能性耳鸣还没有特效药,但可以在医生的指导下服用谷维素等药物缓解,在生活中尽量避免劳累、坏情绪等诱发因素。

  2

  脑中风引发的耳鸣

  多是双侧耳鸣,低、中、高频声音都可能出现。同时可能伴随突然地面部麻木、说话不清、头晕头疼、视力模糊、步态不稳、呕吐、肢体麻木、味觉减退等症状。

  3

  听神经瘤引发的耳鸣

  主要是单侧耳鸣,且音调较高,类似蝉鸣声、蟋蟀声,或者金属磨擦声。随着肿瘤越来越大,就可能压迫到周围神经,还也可能出现面部麻木、面肌痉挛、感觉异常、头晕,甚至走路不稳、瘫痪等类似脑中风的症状,且各项症状持续加重没有缓解。

  据统计,临床上57%的听神经瘤患者会出现耳鸣等症状,其中26%的患者表现为突发性耳聋。随着肿瘤的生长,患者可能出现听力下降,甚至完全消失。但也不用太恐慌,听神经瘤只要及时接受科学治疗,并不会对患者造成严重危害。只要能够及时手术,切除肿瘤,患者多数可以获得较好的预后,并且听力有可能恢复。

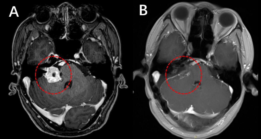
  术前(左)和术后(右)增强磁共振检查,对比提示肿瘤完全切除(红色圈内的肿瘤消失)

  如何区别耳鸣是不是颅内肿瘤?

  01

  高调耳鸣听到的声音:像是蝉叫声、吱吱声(类似电线被弄断以后的声音)。

  02

  高调耳鸣持续的时间:高频、持续性(超过1个月)的耳鸣。

  03

  高调耳鸣伴有的症状:伴有听力下降,面部麻木、头痛、平衡感不好等症状。

  如果您同时符合以上3种症状,就要高度警惕了,尽快到医院排查听神经瘤。

本院医生亲诊
更多
查看更多 预约挂号
丨成都西南脑科在线挂号
在线咨询>>

电话咨询

028-68760707
QQ
咨询