首页> 脑血管疾病
年轻人头晕就是没休息好?医生指出:当心得了“烟雾病”!
来源:成都西南脑科医院

  

  头晕真的是老年人的“专利”?

  年轻人头晕仅仅是因为没休息好吗?

  脑科说

  其实有一种头晕

  经常发生在年轻人身上

  甚至会出现在青少年的世界里

 

  他们往往

  患有同一种疾病——“烟雾病”

  较终大多走向死亡或重残……

  Q

  烟雾病?是抽烟导致的吗?还是雾霾?视线里全是烟雾?

  A

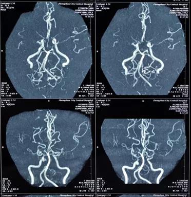
  烟雾病属于脑血管病的一种,又称自发性颅底动脉环闭塞症,是以颈内动脉末端及大脑前或中动脉起始部动脉内膜缓慢增厚,动脉管腔逐渐狭窄以至闭塞,脑底穿通动脉代偿性扩张,形成异常毛细血管网为特征的慢性脑血管疾病。因在血管造影中,脑底的异常血管形状酷似吸烟时吐出的烟雾,故称为烟雾病。

 

  烟雾病怎么治疗呢

  来看看下面两个病例

  病例一:我院患者赵女士 32岁

  一个多月前

  赵女士感觉整天头晕

  昏沉沉的

  伴有视物模糊

  之后出现嗜睡和耳鸣现象

  

  她到当地医院被诊断为颈椎病

  住院治疗了20多天,不见效果

  后转到绵阳某医院,怀疑是烟雾病

  但由于技术条件有限,无法医治

  经过多方打听,辗转来到我院

  确诊为烟雾病、颅内多发动脉闭塞

  病例二:年龄较小的烟雾病患者 4岁

  该患者在出生后的几年时间里

  反复发生过多次脑梗

  询问家族史发现他的爷爷爸爸都有烟雾病

  经过基因检测后

  该患者被确诊为患有家族性烟雾病

  

  烟雾病好治吗?

  烟雾病患者可反复出现脑出血或脑梗死,预后极差,且药物治疗是无效的,不能阻止该疾病的发展。

  这个信息犹如晴天霹雳

  赵女士一下子陷入了深深的忧愁之中……

    

  

  贾映海

  神经外科教授

  烟雾病也不是不可治疗的,血管搭桥手术是目前治疗烟雾病及颅内多发动脉闭塞较有效的方法,能有效阻止疾病的进展,极大降低再出血及脑梗死的发生几率,提高生存率及生活质量。

  赵女士内心又重新燃起了希望

  当即决定手术治疗

 

  完善了术前准备后,贾映海教授和四川省人民医院黄光富教授强强联手,为赵女士实施了STA-MCA(颞浅动脉 - 大脑中动脉)搭桥术,用一根比头发丝儿还细的针线在直径仅仅1mm的血管上进行搭桥。

  手术很顺利

  目前赵女士恢复良好

  提示

  头晕不是老年人的“专利”,年轻人的头晕更应该引起重视。对于烟雾病,医学界公认没有什么有效的保守治疗办法,一旦确诊建议尽早手术治疗。

 

本院医生亲诊
更多
查看更多 预约挂号
丨成都西南脑科在线挂号
在线咨询>>

电话咨询

028-68760707
QQ
咨询